星空官方网站

EN

新品首发 | ATCC肥胖疾病研究新工具——hTERT永生化棕色和白色前脂肪细胞

背景资料

肥胖!一个高频出现在我们视野中的词汇,不断在社会美学的议题中反复探讨、在身体健康的标准中多次度量、在医药研发中重点关注!在多重社会视野的曝光下,肥胖不仅仅影响着人们的审美,同时也是多种非传染性疾病罹患的重大风险因素。

据世界卫生组织统计,肥胖可引发包括心血管疾病、糖尿病、肾病、肌肉骨骼疾病、癌症在内的多种疾病的患病风险。同时,随着全球肥胖症药物市场规模不断提高,以及社交媒体上“风靡”的司美格鲁肽,让肥胖领域的研究成为目前最具热度的方向之一。
在肥胖领域的研发中,对于脂肪细胞的研究是最基础的一环,脂肪组织通常被广泛性的仅仅视为一个能量储存库。然而,在一些冬眠的哺乳动物和幼儿中,一部分脂肪细胞扮演着非常不同的产热角色——燃烧ATP产生热量。此外,科研人员最近在成年人中发现了活跃的棕色脂肪,进一步的研究发现活跃的棕色脂肪与健康的生活方式因素之间存在相关性。但是,我们需要可靠的生物工具来推进后续相关治疗药物的研发。

成熟的脂肪细胞不具有在培养物中复制的能力,而原代前脂肪细胞具有在特定条件下分化的能力,因此可以使用标准方法分离和增殖。然而原代细胞会受到细胞传代凋亡影响,从而限制了它们的效用。而最新研究通过从男性供体中分离出的棕色和白色前脂肪细胞,并通过端粒酶逆转录酶(hTERT)将原代细胞的体内性质与传统细胞系在体外连续生存的能力相结合,使其具有可分化的潜力,保持原代细胞的生理学特性,同时表现出连续细胞系的生长特性。使这些细胞保持其分化能力并且可以连续增殖以具备持续使用的潜力!

 

新品的诞生

ATCC全新推出适用于代谢紊乱和肥胖相关疾病研究的hTERT永生化棕色和白色前脂肪细胞。这两个细胞模型来自同一个供体,在上述疾病的代谢和毒理学研究中提供了更好的可预测性模型。并且具有优异的实验表现:

类体内特征

高增殖能力

实验间重复性

高传代时的基因组稳定性

 

hTERT永生化棕色前脂肪细胞(货号:CRL-4062)

hTERT 永生化的棕色前脂肪细胞是从患有 von Hippel-Lindau综合征的供体的深部肾周脂肪组织中分离出来经过hTERT技术改造为永生化棕色前脂肪细胞。这种 hTERT 永生化的原代细胞可用作毒性研究以及肥胖和相关疾病研究的体外细胞模型。

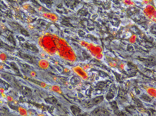
图1:hTERT永生化棕色前脂肪细胞(ATCC®CRL-4062™)分化的棕色脂肪细胞,在20倍物镜下使用红色油性染料染色后的显微镜图像。

官网链接://www.atcc.org/products/crl-4062

图2:hTERT棕色前脂肪细胞在培养的第0-25天内不同时期下的分化形态的显微镜图像。

 

hTERT永生化白色前脂肪细胞(货号:CRL-4063)

hTERT 永生化的白色前脂肪细胞从患有von Hippel-Lindau综合征的供体的皮下腹部脂肪组织中分离出来,经过hTERT技术改造为永生化白色前脂肪细胞。这种hTERT永生化原代细胞可作为毒性研究和肥胖及相关疾病研究的体外细胞模型应用。

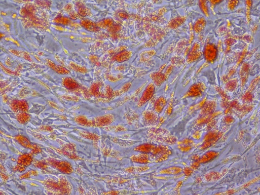
图3:h-TERT永生化白色前脂肪细胞(ATCC®CRL-4063™)分化的白色脂肪细胞,在20倍物镜下使用红色油性染料染色后的显微镜图像。

官网链接://www.atcc.org/products/crl-4063

图4:hTERT白色前脂肪细胞在培养的第0-25天内不同时期下的分化形态的显微镜图像。

下单订购

北京:010- 84415670

上海:010- 84415767

广州:010- 84415684

天津:010- 84415615

苏州:010- 84415614

成都:010- 84415643

附件: